Odhadovaná doba odpovědi:

Zkušenosti

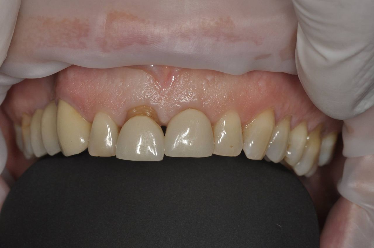
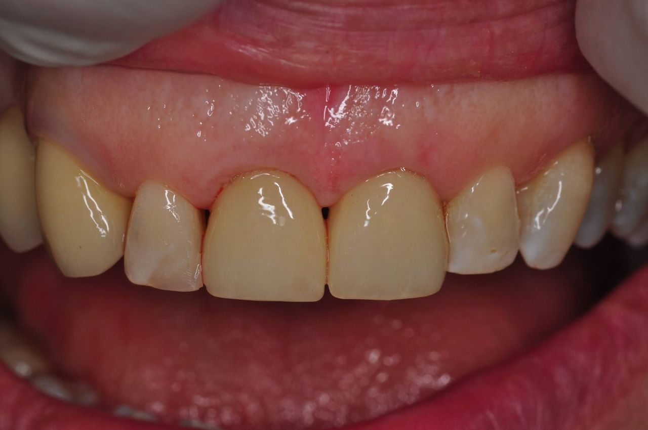
V dnešní době je kladen stále větší důraz na estetický vzhled, neméně to platí i o úsměvu, respektive o zubech. Dopřejte si krásný úsměv.
Posuzuji-li konkrétní klinicky případ, vždy přihlížím k individuální situaci a požadavkům pacienta. V zásadě, nabízím minimálně dvě varianty léčení. Každá s nabízených variant má určité výhody, ať už po své finanční, medicínské nebo estetické stránce. Spolu s pacientem vždy vybereme tu variantu léčení nebo protetické práce, která nejvíce odpovídá představám pacienta a klinickým indikacím konkrétního případu.
Více O mně

Odborník na:

  • Zubní lékařství

Pacienti, které ošetřuji

Dospělí

Typ návštěv

Fotografie a videa

Služby a ceník služeb

  • Chirurgická extrakce zubu


  • Ošetření zubního kazu


  • Prevence zubního kazu


  • Protézy


  • Zirkonová korunka


Adresa

Přiblížit mapu se otevře v nové záložce
Mykyta Gorokhov

Jindricha Plachty 16 Praha 5-Smíchov, Praha 5, Praha 150 00

Dostupnost

Na této adrese online kalendář není aktivní

Telefonní číslo

774 12...

Typy přijímaných pacientů

  • Soukromý pacient (bez pojištění)
  • Pacienti se zdravotním pojištěním

Pojišťovny

Přiblížit mapu se otevře v nové záložce

153 názorů

Recenze pacientů jsou pro nás důležité. Specialisté nemají možnost zaplatit za odstranění nebo změnu recenze pacienta. Další informace. Další informace o názorech
  • M

    Moje osobní zkušenost s MUDr. Mykytou Gorokhovem byla následující.

    30 let jsem neměl žádný kaz, přesto mi při krátké preventivní prohlídce našel kaz a při následném ošetření mi bylo až na konci sděleno, že ošetřil i vedlejší zub; na recepci jsem pak zaplatil přibližně 5 000 Kč.

    Následující 2 roky jsem ve stejné ordinaci chodil k jiné lékařce na pravidelné kontroly i dentální hygienu a bez nálezu kazu.

    Po 3 letech jsem se znovu dostal k panu doktorovi, který mi opět oznámil kaz a doporučil brzké vrtání s tím, že podle něj nepočká do další preventivní kontroly. O týden později jsem absolvoval preventivní prohlídku v jiné ordinaci včetně rentgenů, kde žádný kaz nalezen nebyl, a totéž platilo i při další kontrole po roce.

    Po vyžádání své dokumentace jsem zjistil, že je v ní uvedeno, že jsem přišel s bolestí zubu, což neodpovídá mé zkušenosti, protože jsem žádnou bolest neudával.

    Každý si z této zkušenosti může udělat vlastní závěr.

    Věc jsem předal České stomatologické komoře.

     • Mykyta Gorokhov prevence zubního kazu  • 

  • Z

    Navštívila jsem tuto kliniku po objednání s akutním zánětem zubu a pan doktor se nesnažil nic nevyšetřovat. Dal mi od stolu vybrat ze dvou zubů, asi jsem si měla hodit korunou. Neposkytl mi neodkladnou péči ač to byla jeho zákonná povinnost! Důrazně nedoporučuji.

     • Mykyta Gorokhov Jiný  • 

  • J

    K panu doktorovi chodím již několik let a jsem velmi spokojená. Je citlivý, empatický, vše předem vysvětlí. Dokáže vyvrtat zub bez umrtvení a bez bolesti. Je citlivý i k mým malým synům, kde oprava zubu proběhla bez slz. Mohu jen doporučit!

     • Mykyta Gorokhov ošetření zubního kazu  • 

  • M

    Chci poděkovat panu stomatologovi Mykytovi za vysoce profesionální a odbornou péči s jakou přistupuje k svým pacientům. Již přes pět let chodím k němu na ošetření a vždy jsem spokojen s jeho kvalitní a dobře odvedenou práci. Když náhodou se někdy , něco nepovede , nebo je to akutní, hned si udělá na mne čas , bez zbytečného čekání na volný termín. Je to opravdový profesional !
    Všem mohu doporučit , určitě budete spokojený.

     • Mykyta Gorokhov Jiný  • 

  • V

    Doktor Nikita je skutečný profesionál ve svém oboru! Byla jsem ohromena jeho pozorností k detailům a upřímnou snahou pomoci. Vřele ho doporučuji všem, kdo hledají kvalifikovanou pomoc.

     • Mykyta Gorokhov prevence zubního kazu  • 

  • E

    Chcem srdečne poďakovať pánovi doktorovi Gorokhovovi za môj nový bezchybný úsmev! Po mnohých rokoch hľadania toho správneho zubného chirurga som konečne našla skutočného profesionála. Pán doktor Gorokhov je nielen vynikajúci perfekcionista a estét, ale tiež mimoriadne empatický. Jeho schopnosť zvládnuť bolesť pacienta s jemnosťou a porozumením je obdivuhodná. Pracuje rýchlo, efektívne a jeho komunikácia s pacientom je výborná. Pocit bezpečia a pohodlia počas celého zákroku bol pre mňa nesmierne dôležitý. Ďakujem aj sestričke za jej milý a starostlivý prístup. Na základe mojej skúsenosti je pán doktor Gorokhov elitný zubný chirurg, ktorého môžem vrelo odporučiť každému náročnému klientovi.

     • Mykyta Gorokhov Jiný  • 

  • M

    Jsem velice spokojená již několikátým rokem. Pán doktor mi vždy vyhoví a když náhodou není výsledek na poprvé v pořádku, hned to vyřeší k mé spokojenosti. Jsem panu doktorovi velice vděčná, už několikrát mi pomohl z toho nejhoršího.

     • Mykyta Gorokhov Jiný  • 

  • M

    POZOR!!! Hodně opatrně!!! Je to nejlepší zubař v Praze!

     • Mykyta Gorokhov ošetření zubního kazu  • 

  • F

    Při vstupní prohlídce mi pan Gorokhov nabídl okamžité vytrhnutí zubu (horní osmičky) s kazem. Zub jsem si nechal vytrhnout. Se zákrokem jsem byl spokojený – byl rychlý a díky lokálnímu umrtvení nebolel.
    Pan Gorokhov se mnou komunikoval stručně a trpělivě a dával mi úplné odpovědi; byl jsem spokojený s naší domluvou.

     • Mykyta Gorokhov vstupní prohlídka - noví pacient  • 

  • D

    Dlouho jsem měl strach ze zubařů a děsil se návštěv u nich, ale pan doktor Gorokhov mě toho zbavil, vyřešil mi všechny problémy se zuby a nemám už žádný problém. Naprosto skvělá komunikace i ochota pomoci. Doporučuju všemi deseti.

     • Mykyta Gorokhov Jiný  • 

Došlo k chybě, zkuste to znovu

Odpovědi

42 odpovědí poskytnutých lékařem na otázky pacientů na ZnamyLekar.cz

Dobrý den, pane doktore,

ráda bych se zeptala, jestli je řešením slabých a Tetracyklinem, užívaným v dětství, oslabených zubů potažení keramikou (jakoby novou sklovinou) a tím dosažení nejenom bělejšího odstínu, ale i pevnosti a vyladění tvaru. Navrhla mi to moje lékařka, avšak nyní je dlouhodobě nemocná a tak si hledám novou ordinaci. Bylo by možné se registrovat u vás a absolvovat mimo jiných i tento zákrok?
Děkuji.

dobry den.ano je to spravne cesta upravy tetracyklinovych zubu. muzete objenat se na vstupni prohlidku a spolecne probereme plan osetreni.Hezky den

Dr. Mykyta Gorokhov

Dobrý den,
Vážený pane doktore,
Mám prosbu, je mi 23 let a nemám založené druhé zuby (chybí mi 12 a 22), 11 a 21 se mi sunou na levou stranu, špičáky 23 a 13 mám, ale hodně špičaté a každý má jiný tvar či tloušťku, ale problém je v tom, že jsou na místě (12 a 22). Chtěla bych to vyřešit zubním můstek, rovnátka nechci a implantáty už vůbec ne, nejde o finanční stránku....Proto bych se Vás chtěla zeptat, jestli se k Vám mohu objednat a budete to semnou řešit, neboť co jsem byla v Praze u zubařů, přesvědčují mě o implantátech. Mockrát děkuji za odpověď.

Dobrý den.dekuji za otázku .objednejte se prosím on-line na konzultaci a vyrišeme to spolu.
Hezky den.

Dr. Mykyta Gorokhov
Prohlížet všechny odpovědi

Veškerý obsah publikovaný na portálu ZnamyLekar.cz zejména Otázky a odpovědi, má pouze informativní charakter. Internet nepředstavuje plnohodnotnou náhradu lékařské péče poskytované specialistou.