MUDr. Martin Němec je jedním z mála lékařů, kteří se věnují ženám, které se trápí onemocněním endometriózou. Podařilo se mu společně s kolegy z jiných oborů ve frýdecko-místecké nemocnici vybudovat akreditované komplexní centrum pro léčbu endometriózy. V tomto článku se dozvíte, co je endometrióza, jak se dá léčit a jak toto centrum funguje.
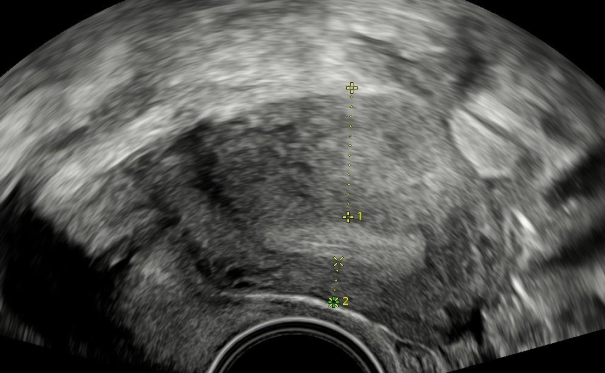
Ultrazvuk: dvoukomorová endometriózní cysta vaječníku.V praxi jsem se velmi často setkával s klientkami, které za sebou měly několik operací pro bolesti v podbřišku nebo neplodnost a jejich obtíže přetrvávaly po operaci dále. Ložiska endometriózy, zvláště ta hluboká, byly často přehlédnuta, nebo je operační tým neuměl vyřešit a žena tak zbytečně podstoupila další operační zákrok. Našim cílem bylo (a je) klientku správně vyšetřit a pokud si řešení vyžádá operační intervenci, tak odstranit všechna ložiska, která způsobují problém.
Jedná se o velmi zvláštní onemocnění, které se chová u každé klientky jinak. Některým dovede velmi zkomplikovat život, jiné o onemocnění ani nevědí. Pokud způsobuje problémy, tak ty se projevují ve formě nemožnosti otěhotnění, bolestivé menstruace, bolestí při pohlavním styku, bolestivou nebo průjmovitou stolicí v období menstruace, krví v moči, nepravidelným krvácením z pochvy, bolestí vystřelující do dolních končetin nebo do ramene. Udává se, že se endometrióza vyskytuje asi u 10% žen ve fertilním věku.
To závisí na tom, co ženu trápí. Pokud ji obtěžují bolesti, tak existují 3 možné přístupy. Dva z nich jsou lékařsky ověřené (léčba farmakologická a operační), třetí je značně individuální a závisí mnohdy na osobní interakci klientky s poskytovatelem služby. Mezi ověřené postupy patří tlumení bolestí pomocí léků proti bolesti nebo hormonálních preparátů. Tím endometriózu nevyléčíme, ale mnohdy zamaskujeme její projevy a žena tak může žít život bez bolesti. Jediná metoda, která je schopna endometriózu odstranit je operační léčba – ta odstraní ložiska a tím dojde k úlevě. Třetí variantou je nabídnutí alternativních léčebných přístupů, které mohou velmi výrazně přispět ke zmírnění projevů onemocnění, ale velmi závisí na poskytovateli, který je provádí.
Pokud si žena přeje otěhotnět, tak závisí na tom, jaký je u ní rozsah onemocnění a kolik je jí let. Někdy lze nabídnout operační řešení, jindy pomoc centra asistované reprodukce.
Máme s endometriózou zkušenosti a myslíme na ni. Umíme klást cílené dotazy a dáváme prostor klientce na to, aby popsala své obtíže. Zajímá nás to, co chce žena řešit. Musíme řešit priority a tím je dost často i věk klientek. Jinak se léčí žena, která plánuje těhotenství ve 25 letech a jinak ve 39 letech. Mnohdy jsou bolesti způsobeny něčím jiným, než je endometrióza a i takové klientce umíme doporučit specialistu který jí pomůže. Zásadní výhoda je ta, že vyšetříme velké množství klientek, umíme správně využívat ultrazvuk a na většinu problémů tak objevíme hned při první návštěvě. Jsou však i případy, kdy doporučíme vyšetření magnetickou rezonancí. Pokud plánujeme operační léčbu, tak se na výkon nachystáme často i s chirurgickým týmem. Abych to vše shrnul, výhoda ošetření endometriózy v centru je ta, že klientka konzultuje se specialistou, který má přehled o všech metodách léčby, má na sebe navázané specialisty, ke kterým klientku může dále odeslat a pokud se rozhodne pro operační léčbu, tak má před operací přesnou informaci o tom, co bude operovat. Endometrióza je hodně komplexní onemocnění a proto by měla být stejně, jako například v případě onkologické diagnózy, její léčba směřována do center.
Tím, že center není mnoho, tak poskytujeme služby ženám z různých krajů ČR. Mimo to k nám jezdí klientky ze Slovenska i Polska. Naší výhodou je velmi pružný objednávkový systém, pokud je to potřeba tak i rychlé zařízení termínů zobrazovacích metod a dostupné operační termíny. Obrovskou výhodou je osobní přístup jak ze strany nás lékařů, tak i týmu sester, takže klientky se u nás cítí velmi komfortně. Jako osvětu o onemocnění jsme založili facebookové a instagramové stránky Endometrióza Morava. Zde ženy najdou mnoho užitečných a hlavně pravdivých informací o onemocnění.
MUDr. Martin Němec MBA, vedoucí lékař Gynekologie Kopřivnice s.r.o., primář gynekologicko-porodnického oddělení nemocnice ve Frýdku-Místku.

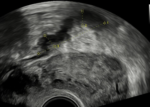
Adenomyóza dělohy. Nápadná rozdílná šířka stěny děložní svaloviny.

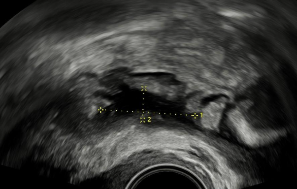
Endometrióza tlustého střeva.

Rozsáhlá endometrióza tlustého střeva.

Endometriózní cysta vaječníku.
Tento článek byl zveřejněn na serveru ZnamyLekar s výslovným souhlasem autora nebo autorky. Veškerý obsah webových stránek podléhá příslušné ochraně podle zákona o autorském a průmyslovém vlastnictví.
Webové stránky ZnamyLekar neobsahují odborné lékařské poradenství. Obsah těchto webových stránek (text, grafika, obrázky a další materiál) byl vytvořen pouze pro informační účely a nenahrazuje lékařské poradenství, diagnózu nebo léčbu. Pokud máte pochybnosti o zdravotním problému, obraťte se na specialistu.