Děložní myomy a děložní niche jsou častými příčinami gynekologických potíží, které mohou způsobovat bolest, nepravidelné krvácení a dokonce i problémy s plodností. Jaké možnosti dnes nabízí moderní medicína? O tom jsme si povídali s MUDr. Martinem Němcem, specialistou na gynekologickou chirurgii.
Ultrazvuk myomu dělohy rostoucího pod děložní sliznicí.Děložní myomy jsou nezhoubné nádory, které vyrůstají ve svalové stěně dělohy. Jsou velmi časté a mohou se objevit u žen v jakémkoli věku. Zatímco některé ženy o nich ani nevědí, jiné mohou trpět bolestmi, silným menstruačním krvácením, tlakem v podbřišku nebo dokonce problémy s otěhotněním. Velikost a umístění myomů hrají klíčovou roli v tom, jak moc ovlivňují každodenní život ženy.
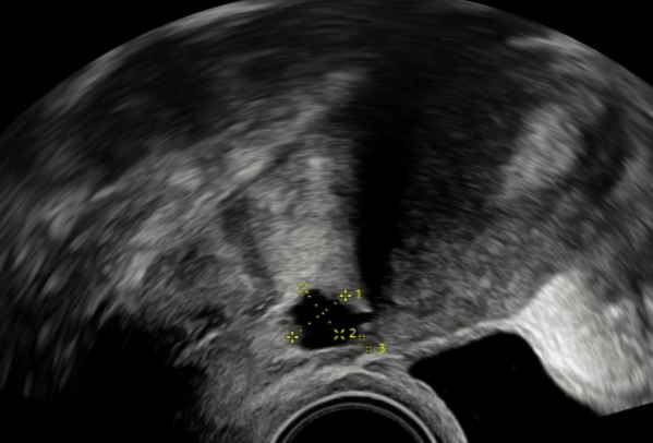
Děložní niche je defekt na děložní stěně, který vzniká po císařském řezu. Může způsobovat chronické špinění po menstruaci, bolesti v podbřišku a v některých případech i neplodnost. Tento stav často zůstává nediagnostikovaný, protože příznaky mohou být nespecifické a ženy si je nespojují s předchozím porodem. Na ultrazvuku nebo hysteroskopicky však niche dokážeme jasně identifikovat.
Naštěstí dnes umíme myomy i niche řešit šetrnými chirurgickými metodami, aniž bychom museli odstranit dělohu. U myomů záleží na jejich velikosti a umístění – menší myomy lze odstranit laparoskopicky nebo hysteroskopicky, což jsou minimálně invazivní metody s rychlou rekonvalescencí. Niche lze opravit také hysteroskopicky nebo laparoskopicky – volba přístupu závisí na šířce děložní svaloviny nad defektem. Myomektomie ani operace pro niche se bohužel neprovádějí na všech pracovištích, a proto nás vyhledávají ženy z celé České republiky, Slovenska i Polska.
Většina žen se po operaci zotavuje poměrně rychle. U hysteroskopických a laparoskopických výkonů je návrat k běžným aktivitám možný už během několika dní, s úplným zotavením během několika týdnů. U složitějších zákroků, například rekonstrukce děložní niche, může být rekonvalescence o něco delší, ale obvykle ne déle než 6–8 týdnů.
Ano, a to je na tom to nejdůležitější. Naším cílem je nejen odstranit potíže, ale také zachovat nebo dokonce zlepšit plodnost pacientek. Po operaci myomu nebo opravě niche doporučujeme ženám počkat přibližně 3 až 6 měsíců, než se začnou snažit o těhotenství. Tento čas je důležitý pro správné zhojení dělohy.
Většina pacientek uvádí výraznou úlevu – zmírnění bolestí, pravidelnější menstruaci a celkové zlepšení kvality života. Ty, které podstoupily operaci kvůli neplodnosti, často sdílí radostné zprávy o úspěšném těhotenství. Z naší statistiky vyplývá, že téměř 60 procent pacientek po opravě niche otěhotní spontánně. Mnoho těchto žen má za sebou opakované léčebné kúry na klinikách asistované reprodukce a najednou otěhotní spontánně. To je pro ně skvělé.
Nebojte se vyhledat odbornou pomoc. Dnes máme k dispozici šetrné chirurgické metody, které mohou vaše potíže vyřešit a zároveň zachovat dělohu. Pokud plánujete těhotenství, správně zvolený zákrok může významně zvýšit vaše šance na úspěšné početí. Každý případ je individuální, proto doporučuji konzultaci s odborníkem, který vám pomůže najít nejlepší řešení právě pro vás.
Děložní myomy a děložní niche nemusí znamenat konec nadějí na otěhotnění ani nutnost odstranění dělohy. Moderní medicína nabízí účinné chirurgické možnosti, které ženám pomáhají zbavit se nepříjemných příznaků a zároveň zachovat šanci na budoucí těhotenství. Pokud vás trápí tyto potíže, neváhejte se obrátit na specialistu a zjistit, jaké řešení je pro vás nejvhodnější.
MUDr. Martin Němec MBA, vedoucí lékař Gynekologie Kopřivnice s.r.o., primář gynekologicko-porodnického oddělení nemocnice ve Frýdku-Místku

Myom dělohy rostoucí do dutiny břišní.

Děložní niche
Tento článek byl zveřejněn na serveru ZnamyLekar s výslovným souhlasem autora nebo autorky. Veškerý obsah webových stránek podléhá příslušné ochraně podle zákona o autorském a průmyslovém vlastnictví.
Webové stránky ZnamyLekar neobsahují odborné lékařské poradenství. Obsah těchto webových stránek (text, grafika, obrázky a další materiál) byl vytvořen pouze pro informační účely a nenahrazuje lékařské poradenství, diagnózu nebo léčbu. Pokud máte pochybnosti o zdravotním problému, obraťte se na specialistu.