Zkušenosti

Možná máte obavy z dentální hygieny. Možná jste už někdy zažili nepříjemné ošetření, bolest nebo pocit, že vám nikdo pořádně nevysvětlil, co se vlastně děje.

U mě se s tímto setkávat nebudete.

Jmenuji se Ivana Tkáčová a už od roku 2009 pomáhám lidem cítit se dobře se svým úsměvem. Mojí prioritou je, abyste se u mě cítili v klidu, bezpečně a bez stresu – od první chvíle, kdy si sednete do křesla.

Zkušenosti jsem získala mimo jiné na jedné z nejprestižnějších klinik v Praze, kde jsem pracovala s nejmodernějšími postupy a vysokým standardem péče. Dnes tyto zkušenosti využívám ve své vlastní praxi, kde se mohu naplno věnovat právě vám a vašim individuálním potřebám.

Používám nejmodernější technologie a maximálně šetrné metody, aby bylo ošetření co nejpříjemnější a bezbolestné, a přitom účinné. Vše vám vždy srozumitelně vysvětlím – protože když víte, co a proč děláme, odcházíte klidnější, jistější a s pocitem kontroly.

Zdravé zuby nejsou jen o vzhledu. Mají přímý vliv na vaše zdraví, sebevědomí i celkovou pohodu. Proto vás nejen ošetřím, ale také vám ukážu, jak o své zuby správně pečovat doma, aby výsledky vydržely co nejdéle.

A když vidím, že se vám daří a o svůj úsměv se staráte, ráda vás odměním profesionálním bělením – aby nezářily jen vaše zuby, ale i vy.

Více O mně

Odborník na:

  • Dentální hygiena

Pacienti, které ošetřuji

Dospělí
Děti

Typ návštěv

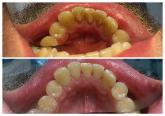
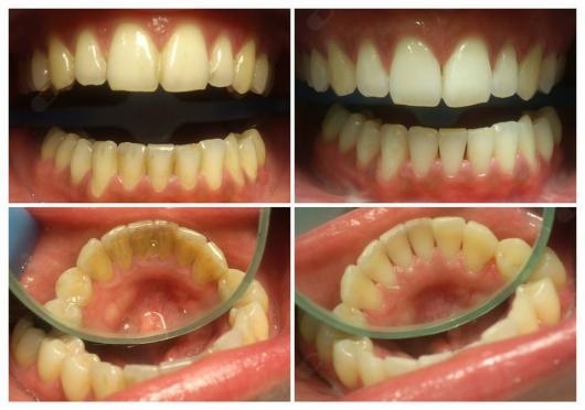
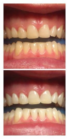
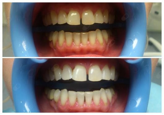
Fotografie a videa

Služby a ceník služeb

  • Dentální hygiena dospělí - opakovaná návštěva

    1 850 Kč

Adresa

Přiblížit mapu se otevře v nové záložce
Ivana Tkáčová Dentální hygiena

Petra Fastra 260, Říčany 251 01

Dostupnost

Na této adrese online kalendář není aktivní

Telefonní číslo

607 01...

Typy přijímaných pacientů

  • Soukromý pacient (bez pojištění)
Přiblížit mapu se otevře v nové záložce

28 názorů

Recenze pacientů jsou pro nás důležité. Specialisté nemají možnost zaplatit za odstranění nebo změnu recenze pacienta. Další informace. Další informace o názorech
  • R

    K této zubní hygienistce jezdím snad 10 let a tak jak se ona stěhuje do jiných ordinací, vždy ji následuji. Je velmi pečlivá a precizní a nikdy práci neodbyde. Ošetření je příjemné, člověk by i konverzoval, ale s otevřenou pusou to nejde :-). Úroveň ošetření je vysoká, mám srovnání. Nyní jsem byl v Říčanech, a stojí mi za to jednou za cca 9 měsíců tam zajet. Doporučuji!

     • Ivana Tkáčová Dentální hygiena Dentální hygiena dospělí - opakovaná návštěva  • 

  • A

    Paní Ivana je velmi pečlivá, empatická a mohu potvrdit, že ošetření od ní je opravdu bezbolestné. Na ústní hygienu k ní chodím již několik let a teď za ní budu velmi ráda jezdit do i Říčan.
    Vřele doporučuji vyzkoušet ošetření od Mgr. Ivany Tkáčové.


     • Ivana Tkáčová Dentální hygiena Dentální hygiena dospělí - opakovaná návštěva  • 

  • K

    Má první návštěva dentální hygieny, takže nemám možnost srovnání, ale odešla jsem spokojená. Paní Kožušková vše vysvětlí, je příjemná, bolesti není třeba se bát. Zvuky těch přístrojů nejsou úplně příjemné, ale na samotném odstraňování kamene a pískování není nic hrozného. Dostala jsem i tipy, jak si čistit zuby. Věřím, že když se o ne budu starat podle návodu, dlouho mi vydrží. Určitě doporučuji jak paní hygienistku, tak dentální hygienu.

     •  • 

  • D

    Profesionální přístup, přijemné vystupování i komunikace. Z mé strany naprostá spokojenost :) Doporučuji..

     •  • 

  • Byla jsem u paní Kožuškové poprvé a odešla jsem velmi spokojená, takže se budu pravidelně vracet. Zuby mi vyčistila velmi pečlivě (lépe než moje předchozí hygienistka), odpověděla mi na všechny moje otázky, vše vysvětlila a navíc mi byla blízká i svou osobností a milým přístupem. Děkuji a budu doporučovat.

     •  • 

  • B

    Paní Kožušková byla rozhodně správná volba, všechny pozitivní komentáře mohu pouze potvrdit. Na dentální hygienu jsem šla přesně v čas, na který jsem byla objednána, paní hygienistka je opravdu milá, pečlivá, vše podrobně vysvětlí a člověk má pocit, že to s ním myslí vážně dobře :-). Těším se na další návštěvu!

     •  • 

    Mgr. Ivana Tkáčová

    Dekuji pani Malinovska. Opravdu to se svyma klientama myslim vazne dobre :)


  • K

    Navsteva pani Kozuskove predcila moje ocekavani. Osetreni nebylo bolestive, kazdy krok byl podrobne popsan. Dale mi pani Kozuskova vysvetlila jak o zuby lepe pecovat a doporucila dalsi lecbu. Prostredi je moderni, ciste a prijemne. Pani Kozuskovou mohu s klidnym svedomim doporucit vsem!

     •  • 

    Mgr. Ivana Tkáčová

    Dekuji pani Katerino.


  • V

    Minuly tyzden som absolvovala zubnu hygienu s Ivanou Kozuskovou. Z ordinacie som odchadzala spokojna a stale spokojna som. Bola velmi mila,precizna,vysvetlovala priebeh,co sa bude diat,pekne a kludne prostredie.. Urcite sa znovu objednam a doporucujem.

     •  • 

    Mgr. Ivana Tkáčová

    Dakujem. Budem sa na vas tesit!


  • A

    Včera jsem podstoupil první návštěvu a jsem velmi spokojen, profesionální přístup a pečlivost... a ani to nebolelo :) Určitě všem doporučuji.

     •  • 

    Mgr. Ivana Tkáčová

    Dekuji. Jsem moc rada,ze to probehlo dle vasich predstav :)


  • Včera jsem u paní Kožuškové byl poprvé a mohu všem jedině doporučit. Takto si představuji profesionálku na svém místě, která své práci perfektně rozumí. Jsou lidé, kteří Vás svojí přítomností vysávají a jsou lidé, kteří Vás svojí přítomnosti příjemně naladí, zlepší náladu...Paní Kožušková patří samozřejmě do druhé kategorie, protože ta pozitivní energie, která je všude kolem ní, je prostě neskutečná. Z ordinace jsem odcházel s usměvem na tváři a vydrželo mi to na celý den. Ještě jednou moc děkuji a už teď se těším na další návštěvu.

     •  • 

    Mgr. Ivana Tkáčová

    Dekuji. Jsem moc rada, ze jste byl spokojen. Budu se tesit na vasi dalsi navstevu :)


Došlo k chybě, zkuste to znovu

Odpovědi

1 odpovědí poskytnutých lékařem na otázky pacientů na ZnamyLekar.cz

Otázka k tématu bělení zubů

Dobrÿ den, chtěla bych se zeptat, kolik stoji bělení zubů. Děkuji

Dobrý den,cena ordinacniho bělení je 5000,-.Soucasti je očistení zubu,ktere se budou belit.Ale ideálni je absolvovat dentalni hygienu alespon 3 dny pred belenim. Dôležité tedy je mit zdravou dasen,bez zanetu. Pro dalsi informace se prosim podivejte na me webové stránky. Preji Hezky den.

Mgr. Ivana Tkáčová

Veškerý obsah publikovaný na portálu ZnamyLekar.cz zejména Otázky a odpovědi, má pouze informativní charakter. Internet nepředstavuje plnohodnotnou náhradu lékařské péče poskytované specialistou.